Pituitary Dependent and Adrenal Dependent Hyperadrenocorticism in Two Littermates
SIGNALMENT:
Two siblings:
Black and Tan (A)
Red and White (B)
Age: 13y 1m
Gender: Neutered Male
Species: Canine
Breed: Long Haired Dachshund
Weight: A: 20.6lbs B: 21.2lbs
HISTORY
Minimal clinical signs. Elevated hepatic parameters on routine lab work.
FURTHER TESTING:
Both dogs’ Low Dose Dexamethasone test results were supportive of hyperadrenocorticism just prior to the ultrasounds. Low dose dexamethasone testing results:

Additional testing (e.g., abdominal ultrasound, high dose dexamethasone suppression test, endogenous ACTH concentration) should be considered.
COMPARISON OF ULTRASOUND FINDINGS:

Images:

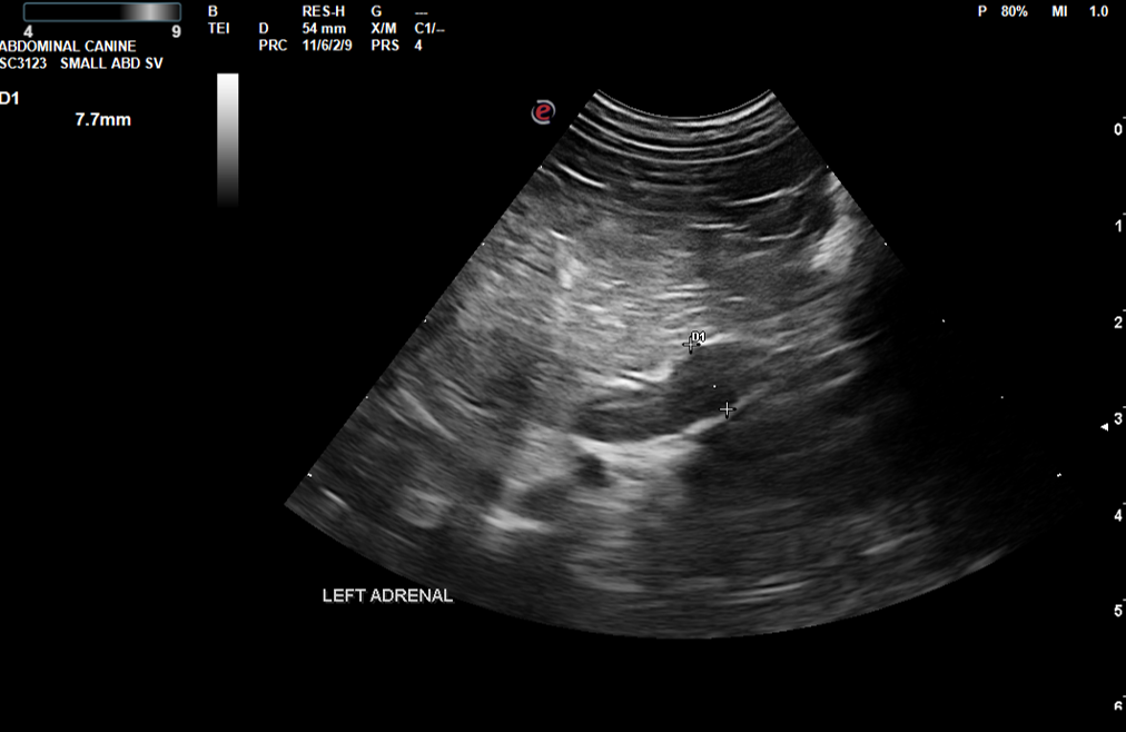
Image 1: Patient A - Left Adrenal

Image 2: Patient A - Right Adrenal

Image 3: Patient B - Left Adrenal

Image 4: Patient B - Right Adrenal

Image 5: Patient B - Spleen Nodule
ABDOMINAL ULTRASOUND INTERPRETATION AND DIFFERENTIALS:


CYTOLOGIC DIAGNOSIS AND FINDINGS:
The splenic lesion in patient B was sampled using ultrasound guidance, and cytology was submitted for evaluation. The cytology results indicated reactive lymphoid hyperplasia and extramedullary hematopoiesis, both benign changes.
DISCUSSION:
Having two siblings with similar lab changes and different causes of HAC is fascinating. It is commonly reported that Pituitary Dependent HAC (PDH) accounts for 80-85% of canine HAC cases, while Adrenal Dependent HAC (ADH) is responsible for 10-15% of cases.
Dachshunds are overrepresented in cases of HAC and typically present with PDH, which is thought to be more common in smaller dogs.
Approximately 50% of all ADH cases are malignant. Adrenalectomy may resolve clinical signs associated with ADH, and histopathology is needed to classify the adrenal gland changes.
OUTCOME:
Both patients have numerous ultrasound findings, many of which may be related to aging and HAC.
Patient A will be treated for PDH with Trilostane. Additionally, mucocele medical therapy and supportive care for pancreatitis will be initiated.
Patient B will be started on Trilostane and mucocele therapy while surgery is being considered. Thankfully, the splenic lesion in patient B is likely benign based on the cytology.
Both dogs have significant renal changes, and renal monitoring is recommended.
Monitoring ultrasounds will be used for assessing response to therapy and progression of current changes.
REFERENCES:
Ettinger SJ, Feldman EC. Textbook of Veterinary Internal Medicine. 6th ed. Elsevier. Pp 1592 – 1611.
Carotenuto G, Malerba E, Dolfini C, Brugnoli F, Giannuzzi P, Semprini G, Tosolini P, Fracassi F. Cushing's syndrome-an epidemiological study based on a canine population of 21,281 dogs. Open Vet J. 2019 Apr;9(1):27-32. doi: 10.4314/ovj.v9i1.5. Epub 2019 Feb 15. PMID: 31086762; PMCID: PMC6500859.
Zeugswetter FK, Carranza Valencia A, Glavassevich K, Schwendenwein I. Patterns of the low-dose dexamethasone suppression test in canine hyperadrenocorticism revisited. Vet Clin Pathol. 2021 Mar;50(1):62-70. doi: 10.1111/vcp.12958. Epub 2021 Mar 16. PMID: 33728722; PMCID: PMC8252562.
Thank you to Banfield Fredericksburg and Eastern Vet Path for collaborating with us on this case.